Grand Opening Special- $1,000 OFF Braces & Clear Aligners LIMITED TIME ONLY *Terms & conditions apply.
Level Orthodontics
  • Meet Dr. Mark
  • New Patients
    • About Us
    • What to Expect
    • Technology
    • Financing
  • Treatments
    • Before & After
    • Clear Aligners
    • Braces
    • Early Orthodontic Treatment
    • Surgical Orthodontics
    • How To Care For Your Braces
    • How To Handle Orthodontic Issues At Home
  • Contact Us
Text Us
(410) 988-2000
Call or Text!
Complimentary Consultation
Complimentary Consultation
  • Meet Dr. Mark
  • New Patients
    • About Us
    • What to Expect
    • Technology
    • Financing
  • Treatments
    • Before & After
    • Clear Aligners
    • Braces
    • Early Orthodontic Treatment
    • Surgical Orthodontics
    • How To Care For Your Braces
    • How To Handle Orthodontic Issues At Home
  • Contact Us
Complimentary Consultation
Complimentary Consultation

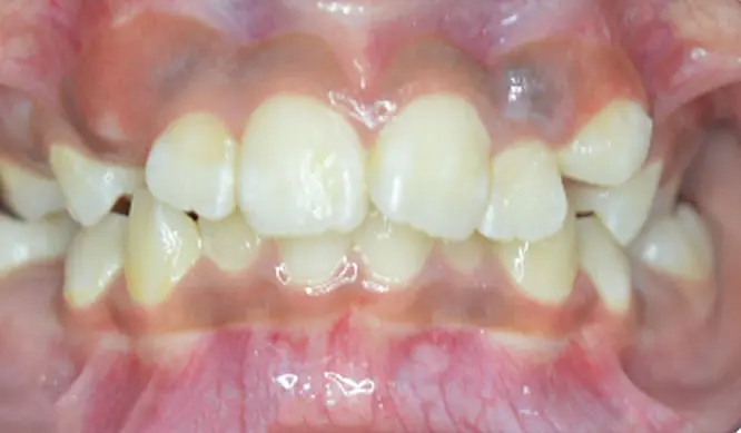
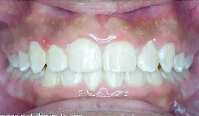
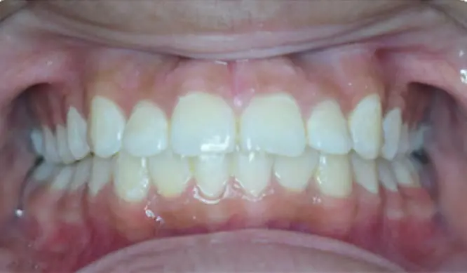
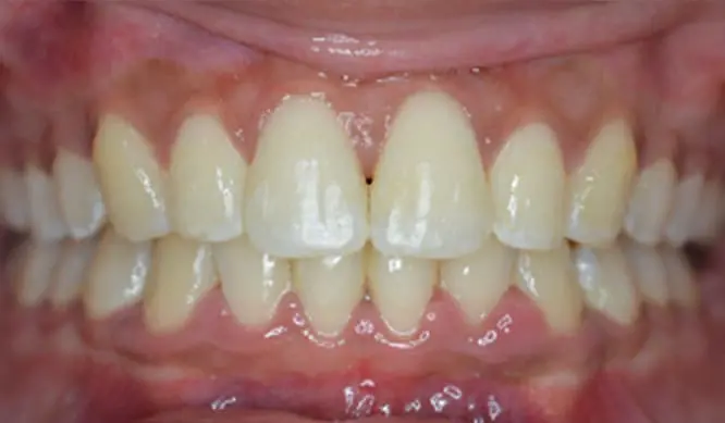
Before & After

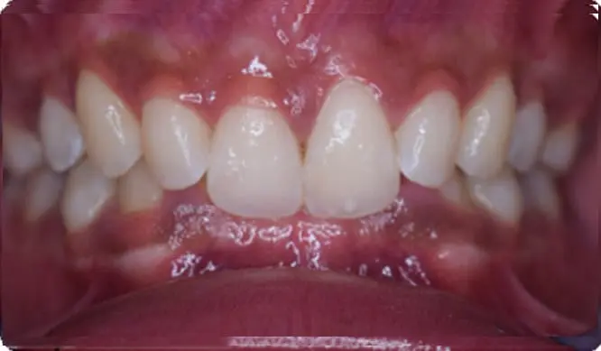
Before Orthodontic Treatment After Orthodontic Treatment
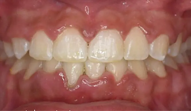
Before Orthodontic Treatment After Orthodontic Treatment
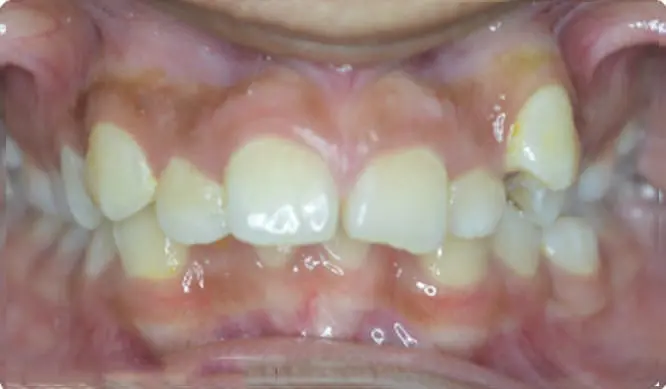
Before Orthodontic Treatment After Orthodontic Treatment
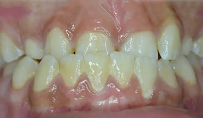
Before Orthodontic Treatment AFter Orthodontic Treatment
Before Orthodontic Treatment After Orthodontic Treatment
Before Orthodontic Treatment After Orthodontic Treatment
Before Orthodontic Treatment After Orthodontic Treatment
Before Orthodontic Treatment After Orthodontic Treatment
Before Orthodontic Treatment After Orthodontic Treatment
Before Orthodontic Treatment After Orthodontic Treatment
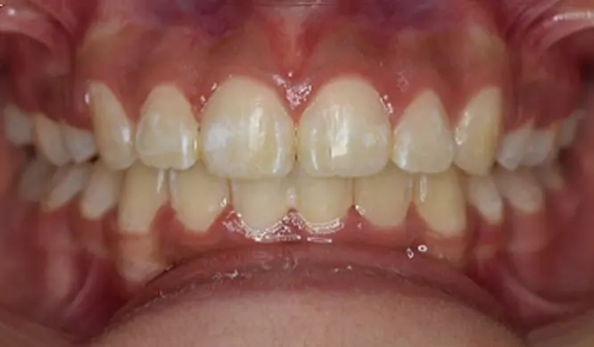
Before Orthodontic Treatment Close-up of a person’s mouth showing straight, aligned teeth with visible gums. Teeth appear healthy and clean, conveying a neutral tone.
Level Orthodontics
Level Orthodontics

Level Orthodontics

8001 Hillsborough Rd, STE 130
Ellicott City, MD, 21043

Phone: (410) 988-2000

Ask About Your
Complimentary Consultation

This field is for validation purposes and should be left unchanged.
Consent

2026 © Level Orthodontics • All Rights Reserved • Privacy Policy

  • Free Consult