Dr. Mark Guevarra
ABO-Board Certified Orthodontist
Orthodontist, Ellicott City, MD
Serving areas such as Ellicott City, Howard County, Columbia, Catonsville, Pikesville, Woodlawn, Elkridge, Jessup, Laurel, Fulton, Clarksville, Halethorpe and Hanover MD.
We are committed to treating our patients with integrity, efficiency, and compassion. We prioritize ethical conduct in all our decisions, ensuring trust and respect with our patients and team. By optimizing our processes and utilizing cutting-edge technology, we strive to deliver timely and effective treatments, minimizing wait times and maximizing results.
Our focus on the patient experience means providing personalized care and support throughout our patients’ orthodontic journey, with clear communication channels established between our office, patients, and referring dentists. Through collaborative teamwork, we will foster a supportive team teaching environment where every team member contributes to our mission of positively impacting lives with confident, healthy smiles. Early Orthodontic Treatment focuses on identifying and addressing dental issues in children to promote proper jaw development and prevent future complications. Discover more about clear aligners, a nearly invisible way to straighten teeth using custom-made, removable trays t hat gradually move your teeth into their ideal position.
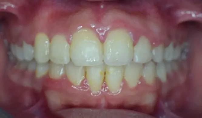
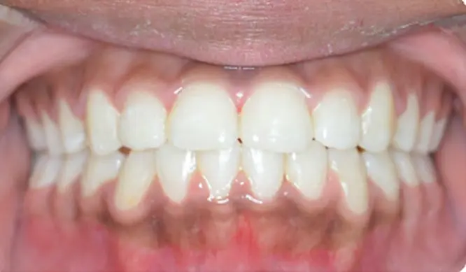
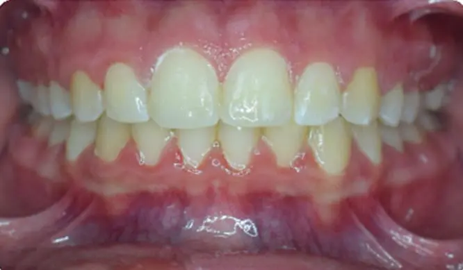
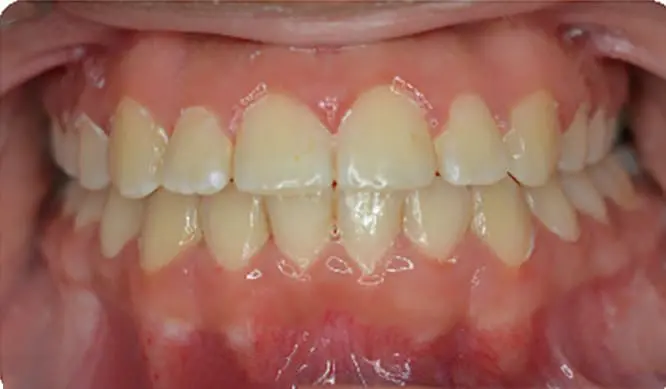
Providing The Highest Standard In Orthodontic Care
Our goal is to provide each patient with the highest standard of care and a superior patient experience by providing orthodontic services designed to improve bite health and transform smiles.
We are social
Follow us on Instagram
